義歯によるスムーズな会話を実現
2025/05/27
症例

上記症例
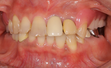
主訴:噛み心地は気にならないが話しづらさが気になる話しやすい義歯を作りたい。
現状

元々の義歯は緑線のように前歯の裏を通るように馬蹄型に設計されており、適合性や嚙み心地は問題なかったそうですが話しづらいのが気になっていたとのことでした。
治療方針
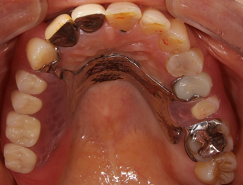
欠損部が左右に跨るようにあり、欠損範囲も広いため左右別々の義歯は噛み心地と適合性が落ちるため、既存の義歯と同じように左右一体型の義歯を採用しました。ただ今までと同じ設計では話づらさが改善しないため今回は上顎の真ん中に薄い金属を通すことで違和感を極限まで減らす自費義歯を作成していくこととしました。
治療期間
およそ1~2か月程度です。治療回数4回
①義歯の型取り
②かみ合わせを記録
③見た目とかみ合わせを確認
④完成
あとはちょくちょくの微調整
結果



義歯は上顎の真ん中に薄い金属を通すことで話ずらさを改善しました。金属をたくさん使用していますが歯に引っかかる針金は歯茎の形をしているため見た目は義歯を装着しているようには見えません。適合性もばっちりとれています。
費用
自由診療のとなるため
上顎金属床義歯(コバルトクロム合金)275,000円となります。
治療におけるメリットデメリット
メリット:保険の義歯よりも圧倒的に金属を薄くできるため違和感がとても少なく出来ます。金属が薄いため舌触りも良く義歯特有の話づらさが改善出来ます。また義歯のため取り外し式となりお手入れがとても簡単です。もしこの欠損部にインプラント治療をする場合は100万円以上の費用がかかるためそれに比べると安価にすみます。また外科処置等も必要なく比較的短期間で治療ができます。
デメリット:インプラントよりは安いとはいえ自由診療のため費用が高額となります。やはり義歯のため金属が薄くなったとはいえ義歯の厚み分の違和感は劇的には改善できません。取り外し式のため煩わしさはあります。
義歯でお悩みの方はお気軽にご相談お願い致します。
上永谷駅徒歩4分丸山台の歯医者
小泉歯科医院
----------------------------------------------------------------------
小泉歯科医院
住所 : 神奈川県横浜市港南区丸山台3-2-5
電話番号 :
045-843-8241
上永谷でニーズに合う入れ歯治療
----------------------------------------------------------------------


