しっかりした義歯で治したい(ノンクラスプデンチャー)
2025/04/28
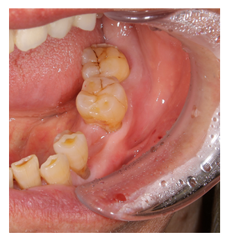
症例

上記症例
歯の破折で抜歯して3か月後の状態
主訴:歯がないところをなるべく簡便でしっかり治したい
現状

左下5(第二小臼歯)が破折し抜歯処置をした3か月後。前後の歯は摩耗こそあるもののご自身のしっかりした歯となっています。欠損部をこのままにすると噛み合わせが悪くなったり、食事がうまく出来なかったりと不都合が今後でてきます。
治療方針
患者さんは70代とご高齢でもあり出来るだけ簡便でしっかり噛める状態をご希望でした。この欠損部を治す方法は義歯、ブリッジ、インプラントの3パターンとなります。もっともよい方法はインプラント治療となりますが費用も時間もかかるためなしとなります。ブリッジに関しては前後の綺麗な歯を削り込むため前後の歯の寿命を著しく悪くするためこれも無しとなりました。そこでしっかり噛めて簡便なノンクラスプデンチャーを選択することとなりました。
治療期間
およそ1か月間程度です。治療回数2回
事前処置(抜歯、う蝕治療、口腔内クリーリング)
上記処置は別に数回かかっています。
①型取り
②ノンクラスプデンチャー完成
結果

保険診療で出来る義歯は針金が目立ちますがこれは歯茎の形をしているためあまり目立ちません(写真でみると目立ちますが実際は義歯を付けているがわかりません)。またしっかり前後の歯を掴んでいるため保険診療の義歯のようなカタカタする感じもなく満足されてました。
費用
自由診療のとなるためノンクラスプデンチャー片側99,000円(税込)となります。
事前治療(抜歯、う蝕治療など)に関しては保険診療で対応しています。
治療におけるメリットデメリット
メリット:処置が簡便でかつしっかり噛めます。保険診療のような針金もなく目立たないです。ブリッジのように前後の歯を削らずにすむため前後の歯にはとてもよいです。また取り外し式のためお掃除などの管理もしやすいです。
デメリット:自由診療のため費用が高額となります。やはり義歯のためインプラントやブリッジに比べると厚みがあり違和感があります。取り外し式のため隙間に物が詰まるため食事後の手入れが毎回必要となります。
義歯でお悩みの方はお気軽にご相談お願い致します。
上永谷駅徒歩4分丸山台の歯医者
小泉歯科医院
----------------------------------------------------------------------
小泉歯科医院
住所 : 神奈川県横浜市港南区丸山台3-2-5
電話番号 :
045-843-8241
上永谷でニーズに合う入れ歯治療
----------------------------------------------------------------------


